歯周治療の進み方
1.初診・歯周病検査
検査の目的は、歯周病の進行程度や原因を把握し「正しい診断」と「適切な治療計画」を立てるための情報を得るためです。患者さんごとに必要な検査を行い、検査結果を分析して治療計画の立てたりや修正していきます。また、 メインテナンス時にも検査を行いますが、それは現在の歯周組織の状態を評価するために行います。検査結果は、必ず診療録に記録し、治療計画を立てやすくするとともにどんな時でも比較できるようしています。
行う検査は以下のとおりです。
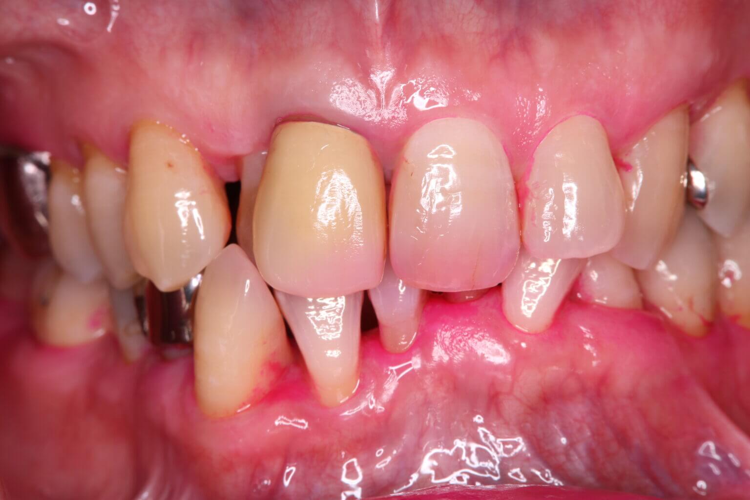
①歯茎の検査
この検査は、歯を支える歯ぐきや骨などの状態を詳しく調べるためのものです。歯周病は初期段階では症状がわかりにくいため、さまざまな項目を調べてきいきます。
歯ぐきの健康状態を確認:炎症や腫れがないかをチェックします。
歯周ポケットの深さを測定:歯と歯ぐきの間にできる溝の深さを調べ、歯周病の進行具合を確認します。
歯の動揺度の評価:歯がぐらついていないかをチェックします。

②歯についた汚れの検査
この検査は、口の中のプラーク(歯垢)がどれくらい付着しているかを確認するためのものです。プラークは細菌の塊で、むし歯や歯周病の原因となりますので、定期的にチェックすることが大切です。
PCRの目的
プラークの付着状況を確認:どの部分にプラークが多く付いているかを調べ、清掃が行き届いているかを確認します。そして、歯科医師や歯科衛生士が染色されたプラークの付着状況を確認し、記録します。通常、歯の表面の4つの部分(外側、内側、咬合面、歯間)をチェックしていきます。プラークが付いている箇所の数を計算し、全体のプラーク付着率(PCRスコア)を算出します。このスコアが低いほど、プラークの管理ができていることを示します。その結果、プラークの取り除き方や効果的な歯磨き方法についてアドバイス

汚れの記録と計算
③レントゲン検査
レントゲンは、歯やその周りの組織の状態を詳しく調べるために非常に重要な検査です。まず歯の周りの骨の状態を確認していきます。歯を支える骨がどのくらい健康で、どのくらいの高さがあるかを確認します。歯周病が進行すると、骨が徐々に失われてしまうため、レントゲンを用いて診断します。レントゲンでは歯茎はうつらず、骨が写ってくるため目視では確認できない、歯の根や歯の間の問題を発見します。これには、歯根の周囲の感染や、歯の根に生じた損傷などが含まれます。そのレントゲンの結果をもとに、最適な治療方法を決定していきます。

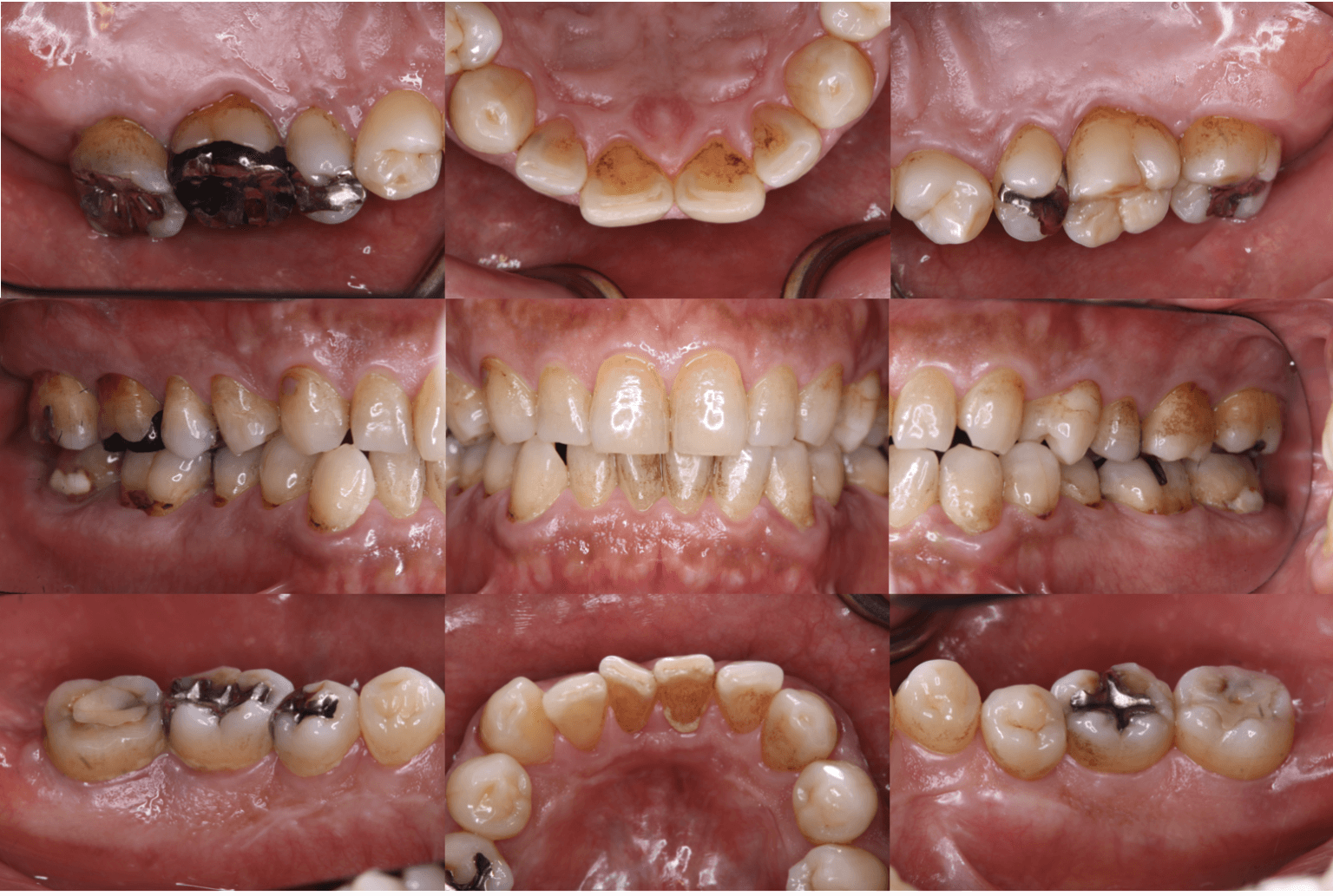
④口の中の写真
この検査は、治療の進行状況や口腔内の状態を詳しく記録するために非常に役立ちます。写真は治療の検査でとても重要です。治療を始める前に、歯や歯ぐきの状態を写真に記録することにより、治療の効果を比較することができます。そして、写真をもとに、どの部分に重点的な治療が必要かを確認し、最適な治療計画を立てます。そして定期的に写真を撮ることで、治療の効果や進行状況を確認し、必要に応じて治療計画を調整します。

⑤口の中の模型
この検査は、治療や診断をより正確に行うために非常に重要です。模型として取ることにより口の中の正確な形状を模型として記録します。その結果、歯や歯ぐきの状態を詳細に把握することができます。そして模型を使って、どの部分にどのような治療が必要かを詳細に検討します。これにより、最適な治療計画を立てることができます。

2.診査・診断・治療計画の立案
以上の検査結果をもとに診査・診断・治療計画に立案を行なっていきます。
3.歯周基本治療
(臨床歯周病学会のHPを参照)
歯周病の原因は、歯に付着した細菌の塊である『歯垢(プラーク)』であり、歯垢(プラーク)を取り除かなければ、歯周病の進行を食い止めることは出来ません。そこで、治療では、大元の原因である歯垢(プラーク)や歯石を取り除く『歯周基本治療』に主眼をおきます。これは、患者さん自身がおこなう『セルフ・ケア(ブラッシング)』と、歯科医院でおこなう専門的な『プロフェッショナル・ケア』がセットになっています。
ただし、歯周病を悪化させる原因は歯垢(プラーク)だけでなく、喫煙や糖尿病などいろいろあります。プロフェッショナル・ケアを中心に、歯周病の原因を一つひとつ取り除く治療全体が、『歯周基本治療』なのです。歯周基本治療は、患者さん自身が軽度の歯肉炎の段階でも、中等度以上、あるいは重症に進行している人にも共通する治療です。歯肉炎や軽い歯周病なら汚れ(歯垢(プラーク)、歯石)を取り除くプロフェッショナル・ケアを主体とした『歯周基本治療』だけで治ることもあります。
一方、歯肉の奥に溜まった汚れが歯周基本治療だけでは、取り除けない場合は、『歯周外科治療』を行います。治療後の再検査で改善が確認できたら、メインテナンス(定期的に清掃と検査)、治ってなければ再度治療というように、治るまで治療と検査が繰り返されます。
歯周病の進行の程度にかかわらず、初めに行われるべき治療が歯周基本治療です。原因である歯垢(プラーク)の除去および歯石の除去、歯の根の面の滑択化、ぐらぐらする歯の咬み合わせの調整などです。
歯垢(プラーク)の除去をプラークコントロールといい、そのほとんどはご自宅でのセルフチェックとなります。 場合によっては、歯科医院で器械的に行うこともあります。
スケーリングは歯の表面や根の表面の歯垢(プラーク)歯石を器械で取除く事です。ルートプレーニングは歯の表面がざらざらしたり、歯石で満たされていたり、毒素や微生物で汚染された表層を除去する方法で、多くの場合スケーリングと同時に行われます。
また、歯周病の進行に伴い歯は動いてきますが、動いている歯で噛むとさらに負担が増すため、その負担を軽くするために歯を削るなどして咬み合わせの調整を行います。それでもぐらぐらして噛みづらい場合は歯科用の接着剤で隣の歯と接着し、ぐらぐらを抑えていきます。
これら基本治療により歯周組織が改善され、ポケットの深さが浅く(2~3mm)維持されればメインテナンス(定期検診)に移行します。
歯周基本治療で行う内容
1. 応急処置
応急処置とは、急な痛みや腫れなどの緊急な症状を和らげるために行う治療です。
-
痛みの緩和: 歯茎の腫れや痛みを軽減するために、抗生物質や消炎剤を処方します。
-
一時的な修復: 歯が欠けたり、詰め物が取れた場合には、一時的に修復して痛みを防ぎます。
-
感染のコントロール: 歯周ポケット内の感染を抑えるために、洗浄や消毒を行います。
2. モチベーションの向上、プラークコントロール(歯磨き指導)
プラークコントロールとは、歯の表面に付着する細菌の塊であるプラークを取り除くことです。
-
歯磨き指導: 正しい歯磨きの方法を実演し、毎日のケアが効果的になるよう指導します。歯ブラシの角度や動かし方など、具体的なポイントを教えます。
-
デモンストレーション: 実際に模型や鏡を使って、どうやってプラークを取り除くかを見せます。
-
継続的なサポート: 歯磨きの習慣を続けられるように、励ましやアドバイスを提供します。
3. スケーリング・ルートプレーニング
スケーリングとルートプレーニングは、歯周病治療の基本となるプロセスです。
-
スケーリング: 専用の器具を使って、歯の表面や歯周ポケット内に付着した歯石やプラークを取り除きます。これにより、細菌の温床をなくします。
-
ルートプレーニング: 歯根の表面を滑らかにして、再び細菌が付着しにくい状態にします。この処置により、歯茎の炎症が抑えられ、再付着が防がれます。
4. 不良修復物・補綴物のやり直し
不良修復物や補綴物は、歯周病の進行を招く原因になることがあります。
-
再評価: 現在の詰め物や被せ物が適切に機能しているかをチェックします。
-
取り外しとやり直し: 問題がある場合は、それらを取り外し、新しい修復物や補綴物に置き換えます。これにより、細菌の温床を減らし、口腔内の健康を保ちます。
5. 咬合調整
咬合調整とは、噛み合わせを調整することで、歯や歯周組織への負担を減らす処置です。
- 噛み合わせのチェック: 特殊な紙やフィルムを使って、どの歯が強く当たっているかを確認します。
- 調整: 噛み合わせが不均等な部分を削って調整し、均等な力がかかるようにします。これにより、特定の歯や歯茎への過度な負担を減らします。
6. 暫間固定
暫間固定とは、動揺している歯を一時的に安定させるための処置です。
- 固定方法: 専用の素材やワイヤーを使って、動揺している歯を他の健康な歯と連結させて固定します。
- 安定化: これにより、歯が動かずに安定し、歯周組織の回復を促します。痛みや不快感の軽減にもつながります。
7. 抜歯
抜歯は、治療が難しい歯や他の歯に悪影響を与える歯を取り除く処置です。
- 適応判断: 抜歯が必要かどうかを診断します。重度の歯周病や重度の損傷がある場合、抜歯が必要になることがあります。
- 手順: 局所麻酔を使用して、痛みを感じないようにした上で、問題のある歯を取り除きます。
- アフターケア: 抜歯後の傷口のケアや痛みの管理について説明し、必要な薬を処方します。
