矯正される方に知ってほしい(歯ぐきと矯正の関係)|北九州 矯正|
歯並びだけでなく「歯ぐき」も守る矯正という選択
北九州市小倉で矯正治療をご検討中の方へ。
矯正治療は「見た目を整える治療」と思われがちですが、実際には
-
・噛み合わせの改善
-
・清掃性の向上
-
・将来的な歯の寿命への影響
など、長期的な口腔環境に関わる医療です。
しかし同時に、歯ぐき(歯周組織)への影響を無視してはいけません。
本記事では「矯正治療と歯周病の関係」を解説します。
https://www.anzai-dental.com/adult-orthodontics/
にも載せていますので、よかったらご覧ください。
矯正前に必ず知っておくべきこと
歯周病は“歯ぐき”ではなく“骨の病気”
歯周病とは、
歯を支えている骨(歯槽骨)が慢性的に失われる病気です。
特徴:
-
✔︎初期は痛みが少ない
-
✔︎気づかないうちに進行
-
✔︎放置すると歯が支えられなくなる
矯正治療を安全に進めるには、
まず土台である歯周組織が健康であることが前提になります。

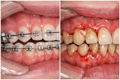
矯正治療中に起こりうる歯周リスク
矯正治療はメリットとデメリットを持つと言われています。
✔ 状態を改善させる可能性
✔ 悪化させる可能性
✔ 適切な管理で安全に進められる
重要なのは定期的なチェックです。
今からチェック項目について説明します
① 歯肉炎・歯ぐきの腫れ
装置装着により清掃が難しくなり、
プラークが停滞しやすくなります。
→ 定期的なプロフェッショナルケアで管理可能。

② 歯肉増殖
慢性炎症が続くと歯ぐきが厚くなることがあります。
まず優先すべきは:
-
ホームケア改善
-
非外科的歯石除去
③ 歯肉退縮(歯ぐきが下がる)
歯を外側に動かす際、
歯ぐきの厚みや付着歯肉が重要になります。
矯正前評価項目:
-
歯肉の厚み
-
付着歯肉の幅
-
既存退縮の有無
必要に応じて歯肉移植を先に行う場合もあります。
④ 根吸収
矯正治療では外部性根吸収が起こることがあります。
リスク因子:
-
長期間の治療
-
外傷歴
-
家族歴
早期発見すれば一時停止で対応可能です。
矯正を安全に進めるために最重要なのは「歯周検査」
矯正前に
-
正確な歯周検査
-
ベースライン記録
-
活動性歯周病の先行治療
が強く推奨されています。
つまり、
歯並びの前に、歯ぐきを整える
これが医療的に正しい順序です。
矯正中のメンテナンス管理
-
2〜6ヶ月ごとの歯周管理
-
必要なら矯正を一旦中止
矯正は「装置を入れたら終わり」ではありません。
歯周病の管理とセットで進める医療と考えます。
マウスピース矯正と歯周病の関係
マウスピース矯正(インビザライン)は、
固定式装置と比較して
-
プラーク指数
-
歯肉炎指標
が良好な傾向を示す報告があります。
理由:
取り外し可能で清掃しやすい。
しかし、
「マウスピースなら絶対安全」
と断定できるほどのエビデンスはありません。
装置の種類よりも
歯周管理が本質です。
北九州・小倉で矯正治療を受けるなら
矯正は「歯を並べる治療」ではありません。
-
骨
-
歯ぐき
-
清掃性
-
長期安定性
を含めた設計が必要です。
歯周病専門的視点があることで、
-
リスク管理
-
長期安定
-
将来の再発予防
まで設計できます。
よくある質問
Q. 歯周病があっても矯正はできますか?
A. 活動性がコントロールされていれば可能な場合があります。まず歯周評価が必要です。
Q. マウスピース矯正は歯周病に安全ですか?
A. 清掃性は高い傾向がありますが、個々の歯周状態によります。
Q. 矯正前に歯周治療は必要ですか?
A. 活動性歯周病があれば先に治療を行います。
