歯周病の再生治療って何?(歯周組織再生療法)
2024.07.12
歯周組織再生療法とは
歯周組織再生療法は、歯周病(歯を支える組織の病気)によって失われた骨や歯肉を再生させる治療法です。この治療法を使うことで、歯を長く健康に保つことができます。
歯周病とは?
- 歯周病は、歯の周りの組織(歯茎や骨)が細菌の感染により破壊される病気です。
- 初期段階では歯茎が赤く腫れたり、出血したりしますが、進行すると歯が揺れ始め、最悪の場合は抜けてしまうこともあります。
歯周組織再生療法の目的
- 歯周病で失われた骨や歯肉を再生させることで、歯を支える土台を取り戻すことが目的です。
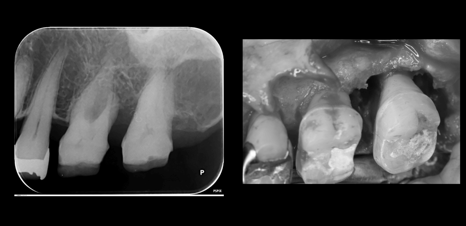
歯周組織再生療法の方法
クリーニングと治療前の準備
・歯の周りを徹底的にクリーニングし、感染の原因となる細菌を取り除きます。
手術
・歯周ポケット(歯と歯茎の間の隙間)を開いて、再生させたい部分を露出させます。
・そこに特殊な材料(骨補填材や再生促進剤)を使用して、骨や歯肉の再生を促します。
治癒期間
・手術後は、数か月から半年かけて骨や歯肉が再生されます。この間、定期的に歯科医の診察を受け、口腔内の清潔を保つことが重要です。
メリット
・歯を失わずに済む可能性が高まります。
・失われた骨や歯肉が再生され、歯の安定性が向上します。
デメリット
・治療には時間がかかる場合があります。
・一部の症例では完全な再生が難しいこともあります。
日常ケアの重要性
・歯周組織再生療法の成功を維持するためには、日常の口腔ケアが非常に重要です。
・定期的な歯科検診とプロフェッショナルクリーニングを受けることをおすすめします。
患者さんの経過
63歳の女性が歯周病で口の中が気持ち悪いということで、来院されました。口の中を診てみると奥歯がグラグラの状態でした。診断は重度歯周病です。患者さんは歯をできる限り残したいという強い意志を感じましたので、自分のできることをしてみよう!と決意をしました。患者さんもとても熱心に歯周病治療に定期的に通っていただきました。その結果、最初はどこの病院に行っても抜歯と言われるであろう歯が残ったのです。これは患者さんが熱心に歯周治療に取り組んでくれたからと思います。これが残せることによって自分に自信がつきました。今後も歯周治療に情熱を注いでいこうと思います。

